【佳学基因检测】良性阵发性腹膜炎Benign paroxysmal peritonitis基因解码基因检测
免疫力大小基因检测:
良性阵发性腹膜炎Benign paroxysmal peritonitis双叫做家族性地中海热 (FMF) (OMIM #249100) 是世界上最常见的遗传性自身炎症性疾病。 佳学基因等基因解码机构通过结构功能、GWAS等分析方法找到了与该病的发生相关的基因。致病基因鉴定基因解码表明:FMF 是由编码免疫调节蛋白 pyrin 的 MEFV 基因的功能获得性突变引起的。 在过去的几年里,免疫力大小基因检测详细研究了FMF 的发病机制、基因检测、诊断、合并症、疾病相关损害和治疗方法方面的并获得一些新进展。 一些致病机制的阐明导致发现了涉及炎症、代谢、心血管和退行性疾病的途径。 在良性阵发性腹膜炎中使用下一代测序揭示了许多新的基因变异,从而可以开发功能测定和生物标志物检测。 在临床上,虽然良性阵发性腹膜炎被认为是一种以短暂发作为特征的偶发性疾病,但最近的系统研究已经鉴定几种相关的慢性炎症。 秋水仙碱是良性阵发性腹膜炎治疗的主要药物,白细胞介素 (IL)-1 拮抗剂是难治性或不耐受病例的治疗选择。 IL-1 拮抗剂阿那白滞素和 canakinumab 的经验现在可用于数以千计的秋水仙碱耐药或不耐受良性阵发性腹膜炎患者。
良性阵发性腹膜炎基因检测导读:
根据良性阵发性腹膜炎基因检测的大数据分析,家族性地中海热 (FMF) 是世界上最常见的遗传性自身炎症性疾病。最初良性阵发性腹膜炎主要是在东地中海地区的人群中发现,后来在中国及世界其他地区病集报告。FMF 是由 MEFV 基因中的功能突变获得引起的,该基因编码一种称为 pyrin 的蛋白质,该蛋白质对先天免疫系统具有调节功能。基因解码认为多年来,中东人群中 MEFV 突变的高携带频率可能是与当地所具有的一种还不明确的生活质量影响因素有关,而这一突变给基因突变携带者某种生存优势。进一步的基因解码它与“黑死病”鼠疫耶尔森氏菌的发病有关。
FMF 的主要特征是反复发作的腹膜炎、胸膜炎、关节炎、皮疹,通常伴有发热。系统的基因解码研究已经确定与 FMF相关的各种相关炎症。随着基因解码基因检测的优越性得到更多的医疗人员的认可,它越来越多地用于日常临床实践。以下一代测序 (NGS)为基础的致病基因鉴定基因解码已经确定了许多新的变异,但其中很多的突变未被基因检测数据库所收录,这阻碍了基因检测结果的全面性和准确性。但是有助于诊断、评估疾病严重程度和治疗的功能性检测和生物标志物正在开发中。量化良性阵发性腹膜炎疾病严重程度、活动度和近期损伤应计的实用指标已经开发出来并经过验证,可用于临床使用和研究目的,成为《人体免疫力大小及其基因决定因素》的重要内容。
秋水仙碱是良性阵发性腹膜炎治疗的中流砥柱,白细胞介素 (IL)-1 拮抗剂是难治性或不耐受病例的治疗选择,新的治疗方案正在开发中。IL-1 拮抗剂阿那白滞素和 canakinumab 的使用现已惠及数以千计的秋水仙碱耐药或不耐受良性阵发性腹膜炎患者,有关其疗效和安全性的数据也变得更加可靠。
值得注意的是,对良性阵发性腹膜炎发病机制的一些潜在机制的阐明导致发现了关键的免疫通路,包括细胞内危险传感器、炎性小体、细胞焦亡和 NETosis,从而改变了对流行的炎症、代谢、心血管和退行性疾病的机制和治疗的理解疾病。研究秋水仙碱和 IL-1 拮抗剂对这些疾病的功效的研究很有希望并且正在扩展。佳学基因总结了FMF 发病机制、基因检测、合并症及其管理、疾病相关损害和治疗方法方面的一些新进展。以帮助患者和大夫可以更准确的选用基因检测并进行精准治疗。
良性阵发性腹膜炎的致病基因鉴定基因解码:基因检测的科学依据
对于一种主要以常染色体隐性方式遗传的疾病来说,不同寻常的是,FMF 是由位于 16 号染色体 (16p13.3) 上的地中海热基因 (MEFV) 的功能获得性突变引起的。MEFV 编码一种 781 个氨基酸的蛋白质,pyrin('pyrin' 或 'marenostrin',TRIM20),它以多种亚型存在于细胞质和细胞核中。pyrin 在细胞核中的确切功能在很大程度上是未知的。Pyrin 至少有四个功能域;PYD、bBOX、CC 和 B30.2/SPRY。激活后,pyrin 与其他细胞蛋白寡聚化,形成一种称为“pyrin inflammasome”的大分子复合物,激活 caspase-1,进而介导促炎性 IL-1β 和 IL-18 从其无活性前体和细胞焦亡中释放gasdermin D 通路。
细胞质pyrin蛋白与细胞骨架中的微管相互作用,是细胞溶质模式识别受体 (PRR) 的成员,它负责通过感知内源性危险或外源性病原体相关分子模式(DAMP 和 PAMP)来启动快速先天免疫反应。然而,与其他受体不同,pyrin 不直接识别 DAMPs/PAMPs,而是检测由有害刺激引起的细胞质稳态变化,称为“稳态改变分子过程”(HAMPs)。这些修饰细胞内的 RhoA GTPase。在生理条件下,RhoA GTPase 激活丝氨酸-苏氨酸激酶;PKN1 和 PKN2,它们结合并磷酸化 pyrin。磷酸化的 pyrin 与抑制性 14-3-3 蛋白结合,此过程使 pyrin 保持处于非活性状态,从而防止 pyrin 炎性体的形成。在良性阵发性腹膜炎中,MEFV 基因突变会损害pyrin蛋白与微管、PKN 和 14-3-3 蛋白的相互作用,从而促进pyrin炎性体的形成。当 pyrin 炎性体组装时,它会激活 caspase-1,将 pro-IL-1β 和 pro-IL-18 分别加工成成熟形式的 IL-1β 和 IL-18,并且细胞会经历称为细胞焦亡的炎症性死亡。pyrin 炎性小体的过度激活以及由此产生的炎症会导致在良性阵发性腹膜炎中观察到的典型发热性炎症发作。
IL-1β 刺激参与整个 IL-1 通路的基因表达,从而增强其自身的产生,导致炎症爆发。多种细胞因子可上调 pyrin 的表达:干扰素 (IFN)-γ、肿瘤坏死因子 (TNF)-α、IL-4 和 IL-10 以及脂多糖 (LPS)。Pyrin 主要在先天免疫细胞中表达——包括粒细胞、细胞因子激活的单核细胞、树突细胞、滑膜和浆膜成纤维细胞。虽然良性阵发性腹膜炎的偶发性还不完全清楚,但在攻击中性粒细胞胞外诱捕网(NETs),即染色质丝“装饰”有嗜中性蛋白和捕获的 IL-1β,形成,
MEFV基因有10个外显子,在佳学基因免疫力大小基因检测数据库中,已收录进370多个基因突变。随着基因组测序 Infevers (2020) 的使用,已发现的基因突变的数量正在增加。大多数致病/可能致病变异位于外显子 10,该外显子编码 B30.2/SPRY 结构域,负责激活 caspase-1。在良性阵发性腹膜炎流行地区,最常见的 MEFV 变体是 M694V (c.2080A>G)。其他常见的外显子 10 变异是 M694I (c.2082G>A)、V726A (c.2177T>C) 和 M680I (c.2040G>C 和 c.2040G>A),这些变异占所有良性阵发性腹膜炎患者的近 75%(表 1) 。这些变异的携带与良性阵发性腹膜炎的典型临床表型和更严重的疾病相关。良性和可能良性的变异通常位于外显子 2,通常不会引起典型的良性阵发性腹膜炎表型。由于大多数基因检测未使用基因解码技术,多达三分之二的分布在整个基因上的基因序列变化没有决定的临床意义(未被分类或被归类为意义不明 (VUS) 的变异)
表格1:常见的 MEFV 基因变异与其临床关联的示例。
| 良性 | 可能是良性的 | VUS | 可能致病 | 致病的 |
|---|---|---|---|---|
| D102D | R75Q | E148Q | S208T | M680IG>C |
| G138G | P115T | P369S | F479L | M680I G>A |
| R202Q | G304R | H478Y | M680L | M694V |
| R314R | A317T | G678E | I692DEL | M694I |
| E474E | A457V | T681I | M694L | V726A |
| D510D | I591M | I720M | K695R | |
| P588P | V690L | V722M | K695N | |
| S675N | I772V | A744S | R761H |
FMF 是常染色体隐性遗传模式,但大约 30% 的患者携带单一致病变异(单等位基因疾病)。在良性阵发性腹膜炎流行的国家和近亲结婚家庭由于在连续几代人中出现患者,被误认为显性遗传,这实际上是伪显性传播。然而,一些具有真正显性遗传的 MEFV 基因突变也被佳学基因的病案集收录。具有一种可识别的致病性 MEFV 基因变异的无症状个体被称为该疾病的“无症状携带者”,而具有两种致病性变异的无症状个体被定义为“表型 3”。
良性阵发性腹膜炎基因检测的大数据分析
FMF 在来自东地中海地区的人群中普遍存在,即土耳其人、犹太人、阿拉伯人和亚美尼亚人发病率高于其他地区的人群。然而,欧洲、北美和日本有数百名患者,并且由于过去二十年中人口从流行地区大量迁移到这些地区,预计这一数字还会增加。FMF 在流行国家的患病率从 1:500 到 1:1,000 不等,报告的最高患病率为 1/395,来自安纳托利亚中部地区。考虑到疾病流行率和人口规模,土耳其的良性阵发性腹膜炎患者数量居世界首位,其次是以色列和亚美尼亚。
什么样的人应当做良性阵发性腹膜炎基因检测?
FMF 的特点是反复发作的短暂炎症发作,可在 1-3 天内自发消退。FMF 众所周知的典型表现是发烧、浆膜炎、关节炎和丹毒样红斑。此外,在良性阵发性腹膜炎环境中报告了一系列广泛的临床表现,例如神经系统、血栓形成和眼部疾病,并被称为“非典型表现”。一些良性阵发性腹膜炎患者可能会在随访中出现疾病并发症,而另一些患者可能会在最初出现,后者的典型例子是在没有经典症状的情况下出现淀粉样蛋白 A (AA) 淀粉样变性,称为表型 2。
FMF 发作通常从儿童早期开始,80%–90% 的患者在 20 岁之前出现症状。40 岁以后该病的初始表现相当罕见,通常以轻度病程为特征。FMF 患者通常会在症状出现前识别出诱发因素,例如情绪压力、寒冷暴露、月经或旅行。近 50% 的患者在全面发作前数小时出现早期或先兆症状,例如食欲不振、易怒和肢体麻木。这些前驱症状在男性中更常见,并且发生在腹膜炎和关节炎发作之前。许多人描述了一种典型的个人反复发作模式,这可能有助于将发作与其他情况区分开来,
根据登记的年龄组、地理区域和种族人口,FMF 表现类型的频率因研究而异。然而,发热和腹膜炎是迄今为止最常见的表现,所有年龄和种族人群中超过 90% 的患者都报告有发热和腹膜炎。FMF 相关的发烧通常突然开始,在数小时内达到峰值并在同一天自发消退。发热模式可能有助于将良性阵发性腹膜炎与感染原因和其他自身炎症性疾病区分开来。发热可能单独发生或伴随其他良性阵发性腹膜炎表现。在极少数情况下,发烧可能是唯一或最初的症状,可以作为不明原因的发烧来处理。
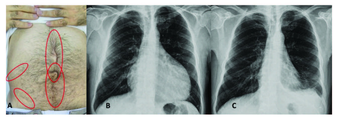
腹膜发作开始局限并迅速蔓延至整个腹部。腹膜炎症会导致典型的肠梗阻症状,患者会遭受严重的胃痛。体格检查显示腹部肌肉僵硬、反跳痛和肠鸣音消失——临床上这种紧急情况与急腹症的手术原因无法区分。因此,隐匿性腹部手术史在良性阵发性腹膜炎患者中很常见(图 1A)。在疑似病例中,影像学检查可能有助于排除手术病理。腹部发作后可能会出现轻度反弹性腹泻。尽管有戏剧性的表现,但腹膜炎的所有体征和症状在 24-72 小时内完全消退,没有后遗症,尽管慢性腹水和腹膜粘连的报道很少。

图1:(A) 一位因多次腹部手术而留下疤痕的患者,(B) 胸部 X 光片显示大量心包积液,(C) 同一患者用阿那白滞素治疗后的胸部 X 光片。
不到 50% 的患者会出现胸膜炎发作,表现为突然发作的单侧胸膜炎,可能单独发生,也可能与腹膜炎和发热同时发生。患者描述了典型的严重胸膜炎性胸痛,经检查,他们的胸部患侧呼吸音减弱。胸部 X 光片可能显示肋膈角有少量渗出液。发作通常会在一到三天内完全消退。
心包炎是一种罕见病症,见于 1%–2% 的患者。心包炎会出现胸骨后胸痛和呼吸困难等症状。心包填塞可能很少发生。心电图显示 ST 段抬高,胸部 X 光片可能显示心脏轮廓的短暂扩大(图 1B 和 1C),超声心动图显示心包积液。在极少数情况下,复发性心包炎可能是良性阵发性腹膜炎的唯一表现,这可能与特发性心包炎相混淆 。
关节炎是影响 50% 以上患者的良性阵发性腹膜炎的第三大常见表现。关节发作表现为突然发作、疼痛、肿胀的关节。这些发作涉及下肢的一个或两个大关节,并可伴有发烧,这种情况与化脓性关节炎无法区分。关节抽吸显示无菌炎症性渗出液。症状在一到三天内达到高峰并在一周内自发消退。在不到 5% 的患者中观察到迁延性关节炎,一小部分患者可能会发生永久性损伤——尤其是当髋关节受累时。据报道,大约 10% 的良性阵发性腹膜炎患者患有慢性骶髂关节炎。关节发作在携带 M694V 突变的患者中更为常见。
肌肉不适在良性阵发性腹膜炎患者中很常见,尤其是那些携带 M694V 突变的患者。最常见的肌肉症状是发生在小腿肌肉的站立肌痛(劳力性腿痛)。长途旅行和被动振动可能会引发不适症状的产生。肌痛与更严重的疾病和持续性炎症有关,如果不仔细询问,很容易被忽视。最严重的肌肉表现是持续性发热性肌痛 (PFM),其特征是强烈的肌痛和发烧,症状持续长达 10 周。PFM 引起明显的急性期反应,磁共振成像显示肌肉水肿。这种情况对秋水仙碱无效,即使经常使用秋水仙碱也可能发生。
FMF 的皮肤表现为类似于典型丹毒的斑片状皮疹(丹毒样红斑,ELE)或白细胞破碎性血管炎引起的疼痛性紫癜。皮肤病通常发生在长途旅行或长时间步行之后,主要发生在腿部、脚踝周围或脚背。
FMF 患者报告了多种表现,包括血管炎、神经系统、血栓形成、眼部和耳蜗疾病,并被定义为“非典型表现”。然而,在大多数这些疾病中,它们与良性阵发性腹膜炎的患病率和发病相关性尚未得到很好的表征,这也可能被解释为巧合 。
长期以来,人们一直注意到良性阵发性腹膜炎患者和无症状携带者易患某些炎症性疾病,例如脊柱关节炎、过敏性紫癜 (HSP) 和结节性多动脉炎 (PAN) 。FMF 患者中这些特定疾病的发病率增加可以通过促炎细胞因子和 microRNA 的表达增强来解释。佳学基因根据所收集的病例,在《人体基因序列变化与疾病表征》中已将此列表扩展到包括:幼年特发性关节炎、PFAPA、脊柱关节病、炎症性肠病、血管炎(白塞氏病、HSP、PAN)、肾小球肾炎、皮肤病(银屑病、化脓性汗腺炎、接触性皮炎)和脱髓鞘脑病。大多数这些合并症都属于 MHC I 类疾病(MHC-I 病),
表型 2良性阵发性腹膜炎的特征是在没有良性阵发性腹膜炎疾病的其他典型表现的情况下最初表现为 AA 淀粉样变性。这种表型在不同队列中的患者比例不到 2%。诊断需要基因分析并排除慢性炎症的其他原因。
尽管良性阵发性腹膜炎的特点是间歇性炎症发作,但相当多的患者患有慢性、持续性炎症。在一项前瞻性研究中,只有 29% 的良性阵发性腹膜炎患者血清淀粉样蛋白 A (SAA) 测量值低于 3 mg/L,65% 低于 10 mg/L,13% 超过 50 mg/L。慢性炎症的独立危险因素是男性、M694V 纯合子、肌肉骨骼型发作、秋水仙碱耐药和炎症合并症。慢性炎症是发生淀粉样变性、肾衰竭和其他疾病并发症的主要风险 。
良性阵发性腹膜炎基因检测区分征状出现的环境原因和遗传性原因
FMF 的异质性病程是遗传和环境因素之间复杂相互作用的结果。最终的疾病表型主要由所携带的MEFV变体决定。M694V 是最常见和最具疾病穿透力的基因突变序列,可导致中性粒细胞分泌更明显的 caspase-1、IL-1 家族细胞因子和 S100A12。
携带双等位基因外显子 10的基因突变(尤其是 M694V 纯合子变异体)的患者表现出严重的疾病表型,其特征是发病年龄较早、发作频率较高、肌肉骨骼特征、秋水仙碱反应较低、慢性炎症、合并症和疾病风险增加。并发症包括不育、关节损伤和继发性淀粉样变性。与单一突变(MEFV 杂合子)相关的疾病通常比具有纯合子或复合杂合子致病性变异的个体轻,其特征是发病较晚、发热/浆膜炎型发作频率较低、对秋水仙碱的反应更有利以及疾病并发症的风险较低。然而,情况并非总是如此,并且存在更严重的单一突变疾病的报告,这可能是由于纳入了大量携带单一杂合 M694V 突变的患者。不同队列中大约 10%–20% 的良性阵发性腹膜炎患者不携带任何已确定的 MEFV 突变,尽管这种情况是良性阵发性腹膜炎样疾病还是具有尚未确定的遗传变异所导致的真正良性阵发性腹膜炎存在争议 。然而,经过广泛的基因检测后,有许多经证实的突变阴性患者表现出与单个杂合子受试者相似的轻度疾病表型。
FMF 的症状和严重程度在具有相同 MEFV 变体的受累个体之间可能有所不同,甚至在同一家庭的成员之间也是如此,这表明疾病的发生受多种因素的的影响 - 包括其他基因,表观遗传和环境因素。根据双胞胎研究,MEFV、非 MEFV 遗传因素和环境因素对表型变异的相对贡献估计比例分别为 6:1.5:1 。已知的 MEFV 独立遗传修饰剂是 IL-1β 的多态性,它与疾病严重程度相关,并且含有血清淀粉样蛋白 A 蛋白 1 (SAA1) 基因的 α/α 基因型,这会增加发生 AA 淀粉样变性的风险而不影响良性阵发性腹膜炎疾病特征。尽管在表观遗传学中已经报道了特定的改变,例如 microRNA 和 DNA 甲基化,它们对表型变异的贡献尚未阐明。特定环境因素对良性阵发性腹膜炎表型的影响尚未确定,但居住国反复被报道为一个独立的调节因素,居住在土耳其、亚美尼亚和中东会增加患严重疾病和 AA 淀粉样变性的风险。
佳学基因良性阵发性腹膜炎基因检测采用什么样品?
对于佳学基因的良性阵发性腹膜炎致病基因鉴定,通常采用抗凝静脉血作为样本类型,因为这种样本可以提供更多的DNA,从而更容易检测到低频的基因突变。而口腔粘膜采集的样本中含有更少的DNA,因此检测敏感度可能会受到影响。此外,不同的基因检测项目可能需要不同的样本类型。例如,基因筛查、低检测位点的风险评做可以使用口腔粘膜作为样本类型,因为这种样本采集方法简单、无创且易于获取。更新的检测流程和方案需要咨询:4001601189。
(责任编辑:admin)